43 pneumopathie febrile mots fléchés
Dermatose neutrophilique s'apparentant ... - ScienceDirect The human Sweet's syndrome is a polymorphic dermatosis including papules, pustules, vesicles, plaques and painful nodules. An acute onset, extracutaneous signs like pyrexia, respiratory or bowel disease and elevated neutrophil count are classical features. Pneumopathie : quels sont les risques d'une pneumopathie la pneumopathie d'inhalation, qui se caractérise par une inhalation d'un contenu gastrique (depuis l'estomac) ou encore oro-pharyngé (depuis de pharynx). Ce liquide se dépose alors dans le ...
PNEUMOPATHIE - 4 Lettres - Mots-Croisés & Mots-Fléchés et ... pneumopathie — Solutions pour Mots fléchés et mots croisés. pneumopathie. — Solutions pour Mots fléchés et mots croisés. Cliquez sur un mot pour découvrir sa définition. Solution. Longueur. sras. 4 lettres.

Pneumopathie febrile mots fléchés
SRAS : Définition du mot - Mots fléchés et mots croisés ... ☑️ Définition du mot SRAS - 4 lettres - Mots fléchés et mots croisés . Voici une ou plusieurs définitions pour le mot SRAS afin de vous éclairer pour résoudre vos mots fléchés et mots croisés. La radiographie thoracique du sujet âgé en fonction de(s ... Toute classification à ses limites et celles ci sont très vites atteintes lorsque l'on traite des dyspnées du sujet âgé. En effet il est difficile dans l'analyse de la gêne respiratoire de faire la part entre ce qui revient au vieillissement, ou au déconditionnement, aux pathologies chroniques intriquées ou décompensées. Calaméo - Corrigé Complet Activité Biologie Publishing platform for digital magazines, interactive publications and online catalogs. Convert documents to beautiful publications and share them worldwide. Title: Corrigé Complet Activité Biologie, Author: xaviere lautier, Length: 312 pages, Published: 2019-08-19
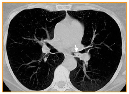
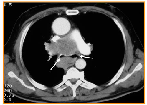
Pneumopathie febrile mots fléchés. Pneumopathie organisée au sirolimus : un diagnostic à ... La pneumopathie au sirolimus, entité connue, peut se présenter sous différentes formes : apparition aiguë ou subaiguë. Elle reste un diagnostic d'exclusion. Dans notre cas, la symptomatologie principale était une altération majeure de l'état général associée à une pneumopathie unilatérale avec syndrome inflammatoire. (Pdf) Prise En Charge Radiologique Des Appendicites Aiguës ... appendicolithe (Fig. 1). Figure 1: Coupe longitudinale échographique d'un. appendice augmenté de d iamètre, à paroi épaissie, contenant du liquide et des stercolithes (flèches); en. rapport ... (PDF) Imagerie des pathologies thoraciques chez le patient ... a b Fig. 2 : Pneumopathie à Klebsiella Pneumoniae diagnostiquée en endoscopie bronchique chez un patient de 33 ans au stade sida en rupture de traitement antirétroviral (7 CD4/mm3). a Scanner thoracique montrant de multiples nodules flous, mal limités et confluents des sommets, associés à des plages de verre dépoli. (PDF) Atteintes cardiaques au cours des hyperéosinophilies ... Atteintes cardiaques au cours des hyperéosinophilies : une présentation clinique et échocardiographique polymorphe
SRAS : Définition du mot - Mots fléchés et mots croisés ... Fsolver vous permet d'effectuer des recherches sur les mots et de trouver des solutions pour vos grilles de mot-fléchés et de mots-croisés. Découvrez toutes les bonnes réponses, expressions françaises, définitions et synonymes pour résoudre tous vos jeux de mots et ne restez plus bloqué par une énigme insoluble. Revue iconographique et spécificités des ... - ScienceDirect pour un nodule < 10 mm, c'est la moyenne des deux plus grands diamètres perpendiculaires qui sera donnée sur le compte rendu (Fig. 1a),. Download : Download full-size image Figure 1. Recommandations de la Fleischner Society pour la mesure des nodules pulmonaires : a : nodule solide lobaire supérieur gauche de découverte fortuite chez un ancien fumeur, mesuré à 6,2 × 5,7 mm : moyenne ... Coronavirus : Persistance des symptômes, rechute… Pour ... De plus en plus de patients ayant développé les signes compatibles avec une forme bénigne du coronavirus décrivent un phénomène de persistance des symptômes ou de rechute.Baleydier/SIPA PNEUMONIE EN 4 LETTRES - Solutions de mots fléchés et mots ... Mar 21, 2017 · Lettres connues et inconnues Entrez les lettres connues dans l'ordre et remplacez les lettres inconnues par un espace, un point, une virgule ou une étoile. Exemple: "P ris", "P.ris", "P,ris" ou "P*ris"
Imagerie de la pneumonie COVID-19 - ScienceDirect L'imagerie scanographique joue un rôle clé dans la prise en charge de la pneumonie COVID-19, notamment lors du bilan initial en permettant un triage rapide des patients dyspnéiques. L'extension lésionnelle en scanner est corrélée à la sévérité clinique et doit être évaluée de façon semi-quantitative par le radiologue. PNEUMOPATHIE FEBRILE - Solution Mots Fléchés et Croisés La solution à ce puzzle est constituéè de 4 lettres et commence par la lettre S. Les solutions pour PNEUMOPATHIE FEBRILE de mots fléchés et mots croisés. Découvrez les bonnes réponses, synonymes et autres types d'aide pour résoudre chaque puzzle. | ᐅ LARME - Mots fléchés et mots croisés - 2-14 lettres Sujet et définition de mots fléchés et mots croisés ⇒ LARME sur motscroisés.fr toutes les solutions pour l'énigme LARME. Aide mots fléchés et mots croisés. (PDF) GUIDE CLINIQUE ET THERAPEUTIQUE - Academia.edu Academia.edu is a platform for academics to share research papers.
Pneumopathie virale ou bactérienne : symptômes, risques et causes Une pneumopathie correspond à une pathologie des poumonspouvant concerner une ou plusieurs parties de l'organe et apparaître de manière progressive ou brutale. Les pneumopathies peuvent être d'origine infectieuse ou non. Les pneumopathies d'origine infectieuse sont les plus fréquentes. Elles témoignent d'une infection au niveau des poumons. Les autres types de pneumopathie non infectieuses sont les pneumopathies interstitielles désormais appelées pneumopathies infiltratives diffuses.
Pneumopathie à Cunninghamella bertholletiae compliquant ... Pneumopathie à Cunninghamella bertholletiae compliquant une leucémie aigüe lymphoblastique Pneumonia caused by Cunninghamella bertholletiae in a patient with acute lymphoblastic leukemia Author links open overlay panel Sandra Lassalle 1 Catherine Butori 1 Véronique Hofman 1 Martine Gari-Toussaint 2 Jérôme Mouroux 3 Paul Hofman 1
Pneumopathie - Dictionnaire des maladies Sep 13, 2013 · Pneumopathie : Causes. En pratique, on emploie le mot pneumopathie pour désigner une infection pulmonaire. Elle peut être virale ou bactérienne, les staphylocoques ou les pneumocoques étant ...
Imagerie des pathologies thoraciques chez le patient VIH ... Cette revue illustre les atteintes thoraciques infectieuses et non infectieuses chez le patient VIH au stade SIDA (moins de 200 CD4/mm 3) à l'ère des traitements antirétroviraux.Les différentes pathologies infectieuses opportunistes, tumorales et vasculaires observées chez le patient VIH ont une fréquence variable selon le degré d'immunosuppression et l'observance de la ...
Imagerie de la pneumonie COVID-19 - PubMed Central (PMC) Aspects scanographiques atypiques. Dans près de 10 % des cas, l'atteinte pulmonaire du COVID-19 peut se présenter sous la forme de condensations pseudo-nodulaires, parfois accompagnées d'un signe du halo inversé faisant évoquer un pattern de pneumonie organisée (Fig. 3).Des présentations unilatérales sont possibles dans 20 à 30 % des cas environ, généralement à un stade ...
FEBRILE - Solution Mots Fléchés et Croisés La solution à ce puzzle est constituéè de 8 lettres et commence par la lettre N. Les solutions pour FEBRILE de mots fléchés et mots croisés. Découvrez les bonnes réponses, synonymes et autres types d'aide pour résoudre chaque puzzle.
(PDF) Linéaire ou kystique : une revue iconographique des ... This pictorial review presents the more and the less common pneumatosis intestinalis CT features in adult patients, with the aim of making the reader more familiar with this potentially misleading sign. Key words: Pneumatosis intestinalis. Pneumatosis cystoides Mots-clés : Pneumatose intestinale.
PLUTOT FEBRILE - Solution Mots Fléchés et Croisés Les solutions pour PLUTOT FEBRILE de mots fléchés et mots croisés. Découvrez les bonnes réponses, synonymes et autres mots utiles
Imagerie de la pneumonie COVID-19 Imaging of COVID-19 ... Mots clés: COVID-19, Coronavirus, SARS-CoV2, Imagerie, Tomodensitométrie. Go to: Abstract. The COVID-19 pandemic is an unprecedented global health crisis. Given the long turnaround of RT-PCR, the gold standard diagnostic technique, chest CT plays a pivotal role in the triage of patients presenting at the emergency department, allowing them to ...
Aspects cliniques des syndromes hypothalamiques ... Ce garçon, aîné d'une famille non consanguine, était né macrosome après une grossesse sans particularité. Son développement psychomoteur était normal mais des troubles du comportement (accès colériques, épisodes léthargiques inexpliqués) et des crises boulimiques ont débuté à l'âge de trois ans. À quatre ans il était obèse (poids (P) : + 4,8 DS pour l'âge statural (/AS ...
Coronavirus à Bordeaux : Il y a un an, le CHU accueillait ... Il s'en souvient comme si c'était hier. Il y a un an, le 23 janvier 2020, le Pr Denis Malvy, expert infectiologue et membre du Conseil scientifique, accueillait au CHU de Bordeaux le premier ...
Calaméo - Corrigé Complet Activité Biologie Publishing platform for digital magazines, interactive publications and online catalogs. Convert documents to beautiful publications and share them worldwide. Title: Corrigé Complet Activité Biologie, Author: xaviere lautier, Length: 312 pages, Published: 2019-08-19
La radiographie thoracique du sujet âgé en fonction de(s ... Toute classification à ses limites et celles ci sont très vites atteintes lorsque l'on traite des dyspnées du sujet âgé. En effet il est difficile dans l'analyse de la gêne respiratoire de faire la part entre ce qui revient au vieillissement, ou au déconditionnement, aux pathologies chroniques intriquées ou décompensées.
SRAS : Définition du mot - Mots fléchés et mots croisés ... ☑️ Définition du mot SRAS - 4 lettres - Mots fléchés et mots croisés . Voici une ou plusieurs définitions pour le mot SRAS afin de vous éclairer pour résoudre vos mots fléchés et mots croisés.
0 Response to "43 pneumopathie febrile mots fléchés"
Post a Comment